今年冬奥会的高山滑雪出现了非常吓人的伤病瞬间。美国的41岁老将林赛·沃恩在高山滑雪滑降比赛中遭遇重伤,她在出发13秒的时候和旗门碰撞失去平衡,落地时姿态完全走样,左腿胫骨严重骨折。事故发生后,她直接被直升机紧急送往医院,截至目前,她已经接受了三次手术,明天会接受第四次手术。
她持续在社交媒体上和大家报平安,最新一条视频里,沃恩说道:“非常感谢所有给我寄来鲜花和信件的人,我还受到了很多毛绒玩具,这一切真的非常暖心,也给了我很大的帮助。在这里住院的几天确实非常艰难。我现在终于感觉稍微恢复了一些,但接下来还有很长的康复之路。明天我将接受另一场手术,希望一切顺利,之后或许我可以离开医院回家了。不过回家后我还需要再进行一次手术。目前具体方案还不确定,需要等进一步影像检查结果出来。这就是我目前的情况。”
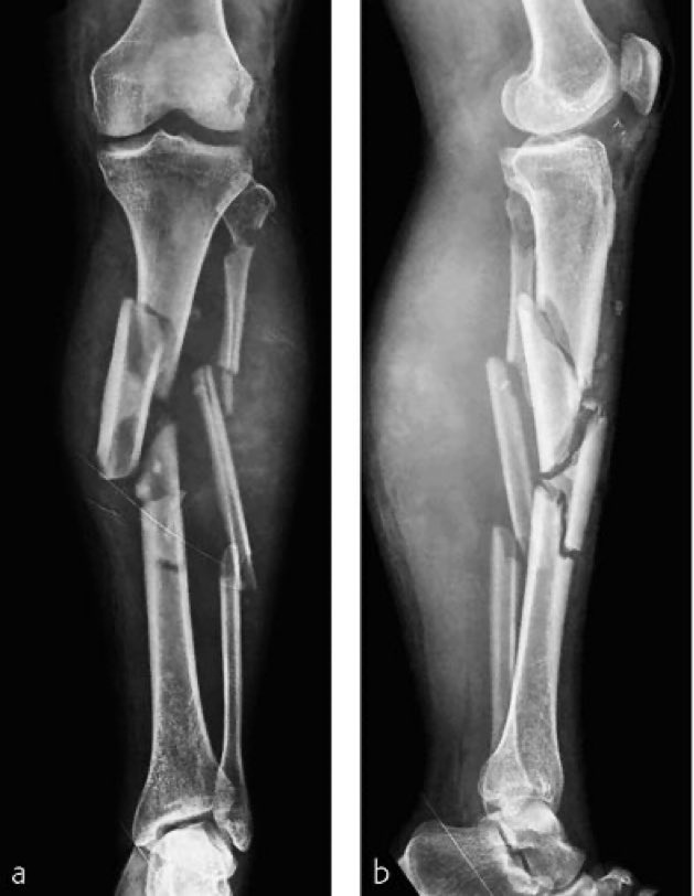
而在此前沃恩晒出的病床照片上,我们能明显看到她的腿被一个巨大的装置固定着,那是跨关节外固定架,这表明了她的伤有多严重。一位医生在社交媒体上晒出了类似需要固定架的胫骨骨折x光片(这并不是沃恩的腿部x光),给大家科普这大概是怎样的伤情。
值得一提的是,沃恩能重返奥运赛场本身就是一种奇迹。她的巅峰期是在21世纪的第一个十年,2010年温哥华冬奥会,她拿到女子高山速降冠军。2019年,沃恩因为腿部伤势不断加重退役,但在2024年接受部分膝关节置换手术后,她感觉自己重获新生,于是时隔5年又开始重返高山滑雪赛道,最终拿到了奥运资格。
可是就在这届米兰冬奥会开幕前9天,沃恩在瑞士克朗-蒙大拿的一场速降赛里遭遇了左膝十字韧带撕裂,而她就带着这样的伤来到奥运赛场了...不过沃恩表示,这次重伤和带着十字韧带伤比赛无关。
而这次事件还引发了关于体育转播该如何应对这种受伤瞬间的讨论。直播的记录是无法逃避的,但此后要以多么近的镜头来对准伤者、回放画面要以怎样的方式呈现,都在考研导演的价值观和判断力。NBA赛场其实也有很多受伤瞬间,真正恐怖的重伤一定会给观众带来极大的心理冲击,那些片段日后也会给运动员带来阴影,所以避免传播错误信息非常重要。
希望所有运动员远离伤病,也希望更多项目能在挑战人体极限的同时,认识到人体的局限性,把那条控制风险的线置于相对合理的位置。冬奥观赛团冬奥会



