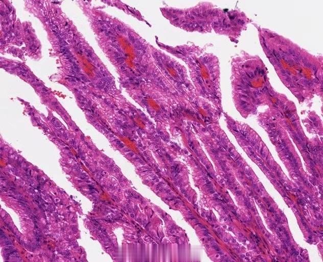
hp阴性背景(从小到大没感染过幽门螺杆菌的状态)很少得胃癌,有的话主要是印戒细胞癌和超高分化型癌两种,当然胃食管反流导致的贲门癌也越来越多。但是总体来说和hp感染后的胃出现的胃癌相比大概是1:100的比例,所以知道自己是hp阴性的胃大概率不需要频繁复查。图示这个是个hp纯阴性背景里面的一处超高分化型癌,esd切除后追加了外科手术因为有淋巴管转移,40y出头,这种其实在30y+做一次胃肠镜就可以避免这样的后果。今天乱入IBD专场去感受了一下cccf的发展盛况,主持的金鹏教授IBD癌变监测的话题,感觉这类型年轻人疾病越来越多的趋势,这个世界没那么多疾病该多好,天下无疾能实现就完美了。




用户89xxx40
浅表性魏延,已杀菌
田霸 回复 01-08 15:20
没用,除非任何地方吃饭都分餐制
用户89xxx40 回复 田霸 01-08 21:30
婴儿时期胃酸低,容易感染,年龄大一点就好了,传染概率低,多人吃饭别喝太多水冲淡胃酸,基本不会感染,不过非礼节性接吻风险应该很高
Keep Moving
这不是徐医生的微博么。。这都抄。。