藏书网
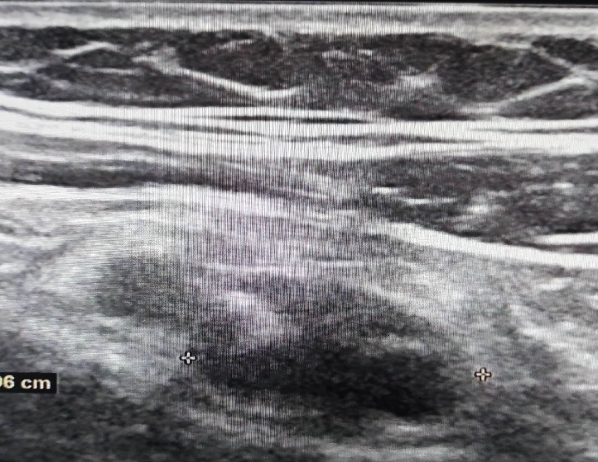
阑尾肿大。阑尾炎性改变 后位阑尾 盲端较难显示 与CT对照 随访化脓性阑尾炎已手术
超声胡说
2024-06-03 19:21:24
阑尾肿大。阑尾炎性改变 后位阑尾 盲端较难显示 与CT对照 随访化脓性阑尾炎已手术
0
阅读:0
超声胡说
感谢大家的关注
作者最新文章
1
转移ca.颈部III区包块 病理转移ca
2
左侧椎动脉部分型窃血。左侧椎动脉频谱部分逆转 左侧锁骨下动脉重度狭窄
3
阑尾肿大。阑尾炎性改变 后位阑尾 盲端较难显示 与CT对照 随访化脓性阑尾炎已手术
4
肠疝。只要有缝隙的地方 疝无处不在
5
隐睾。右侧腹股沟区见睾丸,可以移动至膀胱右侧
6
梗阻性肥厚型心肌病。家族性者为常染色体显性遗传 女,44岁,体检发现 SAM现象 左室流出道频谱匕首样 已手术
7
男性乳腺发育。男性乳腺发育,结节型 男,88岁 自觉双乳胀痛,有包块 双乳晕下见结节
8
肺动脉高压日。今天是世界肺动脉高压日 超声心动图无创、快速、安全、准确…… 评估肺动脉高压及其对右心功能的影响 并可以寻找病因 为临床提供丰富的信息
9
乳腺纤维瘤。伴钙化 随访6年
10
心肌缺血超声改变。室间隔变薄,运动幅度明显减弱 与DSA及心电图对照 DSA前降支远段狭窄99%
热门分类
推荐
热榜
军事
NBA
体育
社会
明星八卦
娱乐
财经
科技
汽车
历史
国际
游戏
动漫
公益
搞笑
商业
互联网
数码
国际足球
房产
家居
时尚
科学探索
职场
育儿
股票
教育
影视
情感
热点
中国军情
武器
中国南海
中国足球
亚洲杯
科比
综合体育
CBA
投资
大咖秀
外汇
创业
风口
SUV
豪车
概念车
优惠
新能源
美国
欧洲
朝日韩
俄罗斯
孕期
街拍
婚姻
正能量