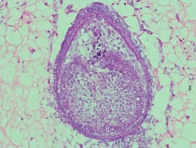
据美媒报道称,伦敦国王学院再生牙科研究生院院长安娜·安杰洛娃·巴尔波尼 (Ana Angelova Balponi) 在她的实验室里进行了大约 20 年的牙齿培养实验。 他是 2013 年使用人类和小鼠细胞成功培养牙齿的团队的一员。 今年,根据这些结果,巴尔波尼的研究在实验室种植牙齿的材料方面取得了突破。 这种材料更好地模仿了生物牙齿在口腔中实际生长的环境。 这是用人类细胞替代小鼠细胞的重要一步,人类细胞会刺激它们形成牙齿。 根据 Balponi 的说法,在实验室培养牙齿的想法可以追溯到 1980 年代。 他和他的同事十多年前开发的牙齿最初是通过将成人牙龈细胞与取自小鼠胚胎的“祖先”牙齿细胞相结合而制成的(是的)。 Balponi 将实验室环境中长牙的元素比作“像三脚架”。 “两种类型的细胞在交换对话之类的东西时会产生牙齿,我们已经准备了一个环境来实现这一目标。” 研究人员称之为“脚手架”的环境对于在实验室中培养牙齿至关重要。 Balponi 将此作为他的最新研究主题。 13岁时,他使用由胶原蛋白(一种蛋白质)制成的支架,但现在他使用水凝胶,一种含水量高的聚合物。 据伦敦国王学院博士生、该研究的合著者薛晨江介绍,“首先,从小鼠胚胎中收集细胞,混合在一起,然后离心制成小细胞沉淀。 该研究侧重于环境,因此不需要人体细胞。 8天后,在水凝胶中形成齿状结构。 在一项为期 13 年的研究中,这种“牙齿原基”被移植到小鼠体内,并发育成牙根和牙釉质生长的牙齿结构。 在实验室生长的牙齿被人类使用之前,还有很多挑战。 尽管如此,这种新材料仍然可以通过改善制造牙齿的细胞之间的“对话”来帮助解决问题。 巴尔波尼说。 研究人员仍然不知道如何用成体细胞替代小鼠胚胎细胞,但一旦解决了这个问题,Balponi 有两种方法将实验室生长的牙齿融入日常牙科护理中。 一种是将牙齿长到一定的发育阶段,然后将它们植入缺牙的地方(牙槽腔)。 另一种是将牙齿完全长出来,然后通过手术种植。 Balponi 指出,现在确定哪种方法更现实还为时过早。
