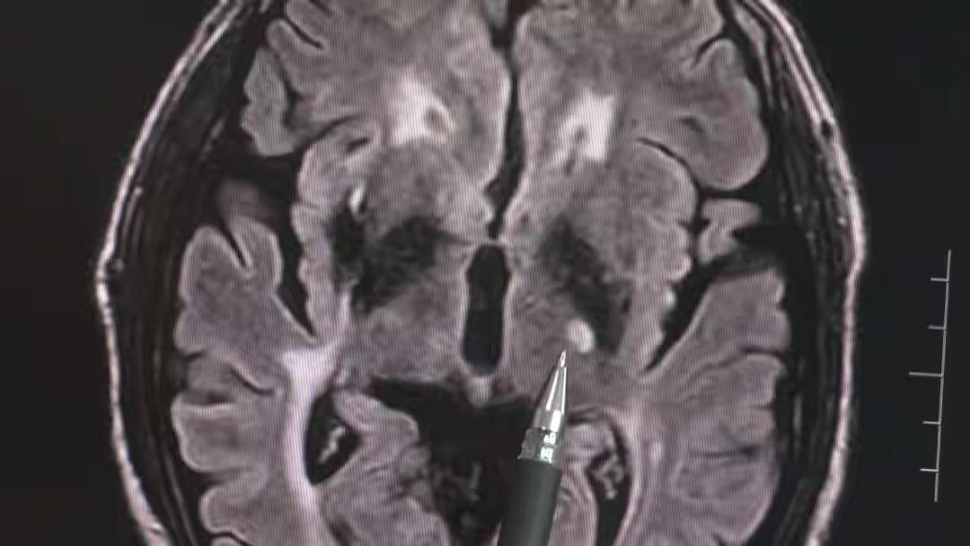
广东44岁男子乔迁宴上突发脑梗濒危!一包烟抽了20年血管硬如铁丝网,早上走路发飘竟是死亡警报 (来源:光明网、广东民生DV现场综合报道) 宴席上的欢声笑语还没散去,阿志手中的筷子突然掉落在地。他试图弯腰去捡,整个人却不受控制地歪向一侧,冷汗瞬间浸透衬衫。“爸,你是不是喝多了?”女儿慌忙扶住他时,阿志想挤出一个笑容,却发现自己连嘴角都抬不起来。 这不是醉酒,而是脑梗的致命突袭。44岁的潮汕汉子阿志,在同学的乔迁宴上被紧急送医后,医生当场下达病危通知书。谁能想到,一场本该充满祝福的聚会,竟成了他与死神赛跑的战场。 “每天一包烟,血管比老人还脆”:据广东三九脑科医院神经内二科主任钟永生透露,阿志的血管状况堪比七十岁老人。长期吸烟导致尼古丁不断侵蚀血管内壁,如同铁丝网般硬化的动脉早已不堪重负。“血管反复痉挛会形成斑块,一旦脱落堵塞大脑,就是瞬间的事。”钟医生指着CT影像上那截狭窄的血管叹息道。 更令人心惊的是,悲剧本可避免。事发当天清晨,阿志起床时就发现走路总往右偏,像踩在棉花上。他却以为只是熬夜后遗症,仍坚持赴宴。“早期脑梗的‘飘浮感’信号太容易被忽略了!”主治医生捶桌痛心。 女儿哭诉:他戒烟酒却戒不掉20年烟瘾 “爸爸两年前戒了酒,可烟总说戒不掉。”阿志的女儿红着眼眶翻出手机照片——生日蛋糕上插着“老爸戒烟成功”的卡片,最终却成了空欢喜。阿志的烟龄比女儿的年龄还长,每天雷打不动一包烟,指尖的焦油黄渍早已渗进皮肤纹理。 医生直言,三高患者吸烟等于“火上浇油”。烟草中的焦油和一氧化碳会加速动脉粥样硬化,让血液黏稠如粥。阿志的血压常年徘徊在160/100mmHg边缘,他却总笑称“抽烟提神比吃药管用”。 黄金救援4.5小时:这些症状是大脑在求救。抢救室内,护士反复高喊“BE FAST”口诀。这套脑梗识别法则救了阿志一命:Balance(平衡丧失)、Eyes(视力模糊)、Face(面部歪斜)、Arms(手臂无力)、Speech(言语混乱)、Time(争分夺秒送医)。 “当时他嘴角歪斜还流口水,右手连筷子都握不住!”宴席上一位学医的老同学最先警觉,立刻要求送医。从发病到推进手术室仅用3小时,血管支架成功取出的血栓足有米粒大。 年轻不是护身符:30岁患者血管已如60岁,神经内科病房里,阿志的邻床是位32岁的程序员。熬夜、炸鸡、可乐配香烟,让他颈动脉斑块厚度超4mm。“现在年轻脑梗患者占三成,最年轻的才26岁。”护士长指着走廊满床的病房摇头。 更可怕的是,脑梗后遗症可能伴随终生。阿志虽然逃过鬼门关,但右手至今麻木无力,说话像含着一口水。康复师每天带他做抓握训练,那个曾经能单手扛起桶装水的男人,现在连纸巾都撕不开。 健康债永远还不清?戒烟一年血管可重生。“别等躺ICU才后悔!”钟医生展示一组对比数据:戒烟8小时后血氧回升,1年内冠心病风险减半,5年后脑梗概率与常人无异。病床上的阿志咬咬牙,把女儿买的电子烟扔进垃圾桶:“这回死也要戒掉!” 窗外阳光正好,阿志试着用左手给女儿发短信。每一个颤抖的笔画,都是重生的开始。 广东男子乔迁宴 突发脑梗 脑梗年轻化 戒烟刻不容缓生命警报 (本文综合广东三九脑科医院临床数据、国家心脑血管病中心防治指南及患者真实经历)








