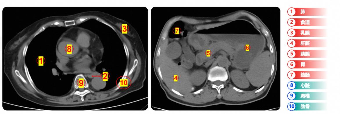
老美估计也没想到,自家的百年巨头企业转身投入中国怀抱,现实真的太残酷! 近期上海进博会上传出的一则消息挺耐人寻味,在美国有着百年历史的巨头企业GE医疗宣布和阿里达摩院签约,有意引入阿里达摩院首创的“一扫多查”医疗AI技术。 两者的合作可没有表面那么简单,背后释放的信号,很多人肯定都没有看明白。 或许很多人不知道,GE医疗是美国一家拥有120多年历史的百年企业,同时和飞利浦、西门子并称为医疗设备三巨头。 在整个医疗设备领域,那绝对是“泰山北斗”般的存在,影响力不可谓不大。但即使是这样的一家企业,同样在投向中国,和阿里达成AI合作。 这背后就很好的说明了两件事。 第一,AI时代下,百年企业想要继续生存,继续保持优势也得进行转型才行,这是一个现实的问题。 毕竟就算GE医疗的CT机能够拍摄出再高清的医疗影像也没用。因为在阿里医疗AI的助力之下,如今在中国,咱们已经可以实现在普通平扫CT中,用AI技术去识别医生肉眼难以发现的细微病灶,对包括胰腺癌、胃癌在内的多种癌症进行早期筛查。 这可不是我瞎说,早在两年前,阿里达摩院就发布了胰腺癌筛查AI模型,成功在2万多名患者中通过平扫CT+AI的方式,发现了30多例临床漏诊病变,其中2例早期胰腺癌病患还完成了手术治愈。 很明显,AI时代的来临也代表了市场的重新洗牌,而在这种情况下,作为百年巨头的GE想要不被淘汰,最好的解法就是进行转型,拥抱AI,抱住中国AI的大腿。 第二,中国AI正在加速走出国门,这一次GE医疗和阿里医疗AI的合作,背后其实也透露了另一个问题。 GE医疗是美国的巨头企业,选择技术合作时,选中的却是阿里医疗AI,并且不只是它,在更早之前,像苹果、宝马、SAP、英伟达等等,他们都曾和阿里AI达成过合作。 可以这么说,中国AI技术实力强,性价比更高,正在成为全球众多企业的新选择,成为全球AI技术的应用一极。


