藏书网
种一颗牙需要多长时间?种植过程分为三个阶段:第一阶段--植入种植体...
口腔唐志辉
2026-02-12 07:26:52
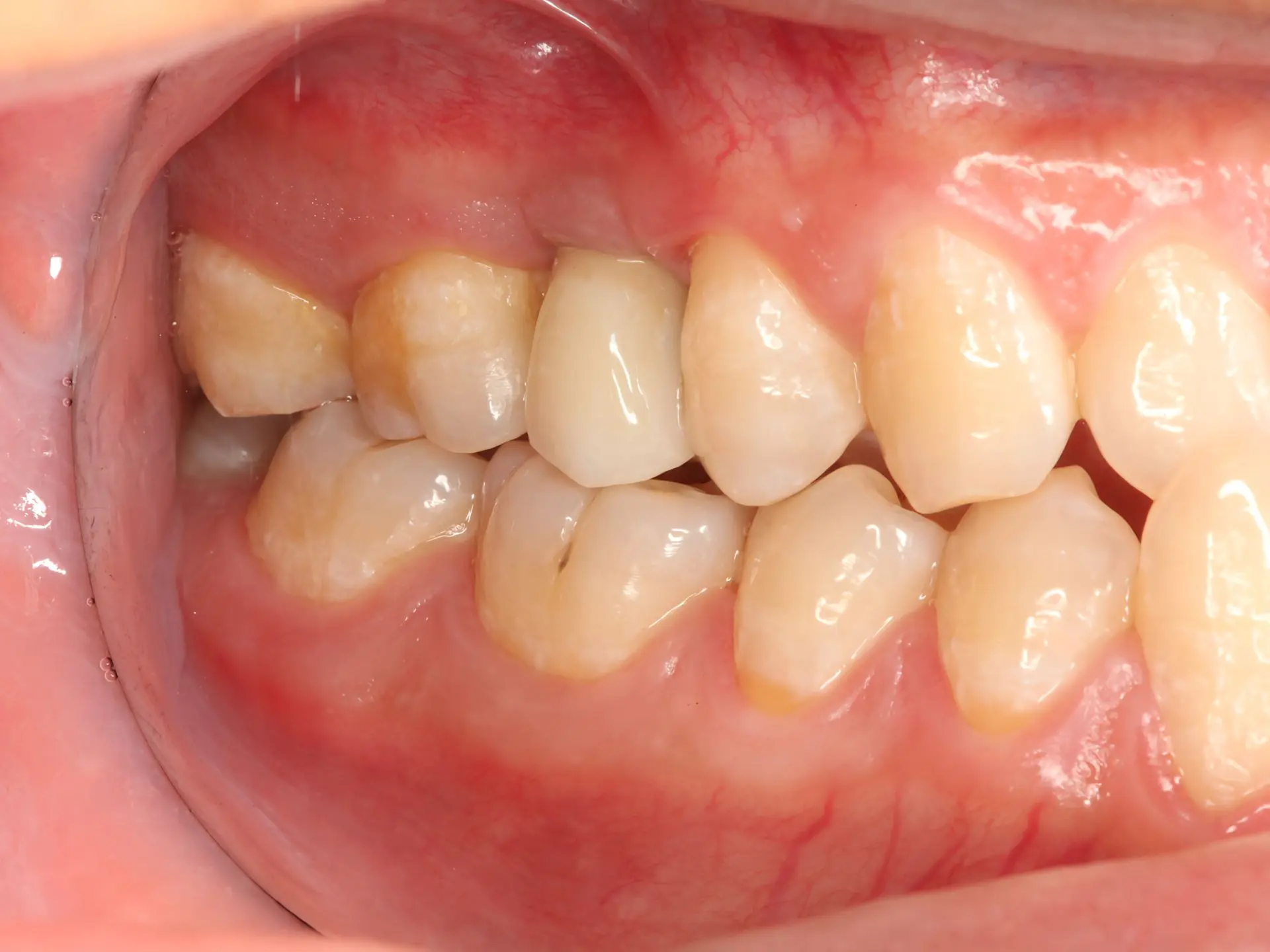
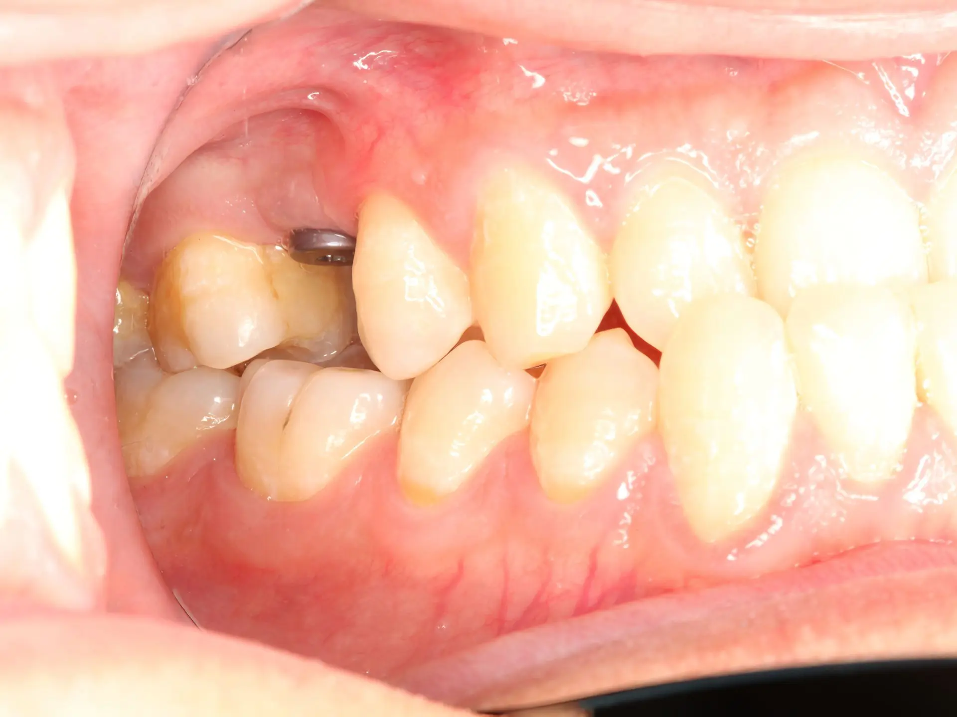
种一颗牙需要多长时间?种植过程分为三个阶段: 第一阶段--植入种植体,这个过程大概需要十分钟左右,全程在麻醉下完成,几乎没有不适感。 第二阶段--二期手术,待种植体骨结合后,通常还需要一次较小的手术暴露出种植体上端,取下覆盖螺丝,安装愈合基台。通常需要间隔3个月左右。 如果在一期手术时已经安装愈合基台的可以省略这个步骤,二期手术的主要目的是引导软组织成型,形成种植体的穿龈袖口,为后期修复做准备。 第三阶段--制作牙冠并戴入口腔。 一般牙龈成型2~4周后,就可以取印模,制作牙冠。
0
阅读:0
口腔唐志辉
感谢大家的关注
作者最新文章
1
种牙前,你需要知道5件事!
2
良心牙医的5大忠告。
3
种一颗牙需要多长时间?种植过程分为三个阶段: 第一阶段--植入种植体...
4
全口种植牙,当天种植,当天修复!
5
【种牙分享】上颌无牙颌+下颌门牙缺失。这是一位41岁男性患者,他的上下...
6
【案例分享】下前牙拔除+即刻种植。这是一位33岁的女性,她发现自己的下...
7
65岁,下颌只剩2颗牙了,来做种植牙!。该患者10多年前有多颗牙因龋坏...
8
种牙必看!种植牙也有最佳时间。
9
单颗种植牙真实案例!单颗种植手术,一般十几分钟就可以完成,整个手术是在...
10
种植牙真实案例展示~种植牙手术通常分两期完成,第一期手术在局麻下切开缺...
热门分类
推荐
热榜
军事
NBA
体育
社会
明星八卦
娱乐
财经
科技
汽车
历史
国际
游戏
动漫
公益
搞笑
商业
互联网
数码
国际足球
房产
家居
时尚
科学探索
职场
育儿
股票
教育
影视
情感
热点
中国军情
武器
中国南海
中国足球
亚洲杯
科比
综合体育
CBA
投资
大咖秀
外汇
创业
风口
SUV
豪车
概念车
优惠
新能源
美国
欧洲
朝日韩
俄罗斯
孕期
街拍
婚姻
正能量