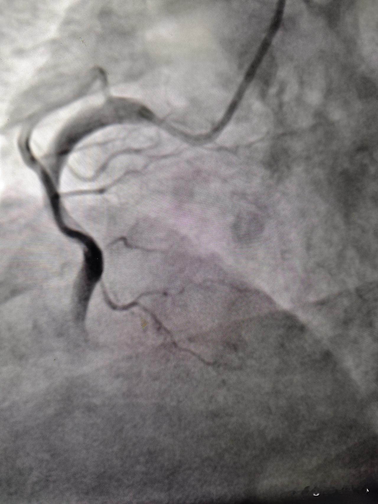
32 岁年轻患者突发心肌梗塞。国庆假期已经接近尾声,刚一接班急诊电话就来了,一个 32 岁男性患者突发胸痛一小时,送到医院做心电图发现下壁导联 ST 段抬高,考虑急性心肌梗塞。赶紧绿色通道直达手术室,一边手术,一边让家属办住院手续,同步进行,争分夺秒,最快速度挽救心肌。 迅速穿刺好桡动脉做冠脉造影检查,发现右冠状动脉重度狭窄,有血栓形成,导丝迅速通过病变部位,用球囊扩张血管,植入支架后血流恢复正常。 这么年轻,血管就一塌糊涂,到处都是动脉硬化斑块,此次急诊手术做了堵塞最严重的地方,还剩做前降支严重堵塞的,等病情稳定以后还需要再做支架手术,听到血管堵塞的位置这么多,这个年轻小伙子一时有点难以接受,又冠心病需要终身吃药,直呼完了完了[流泪] 询问患者有没有什么危险因素,回答说就是抽烟和高血压,其他没了。近几年年轻心梗患者越来越多,跟抽烟、不健康的生活方式关系很大。诸位朋友,不管年龄大不大,健康第一位,保护好自己的心脏。心梗 心梗症状 心梗征兆 心肌梗死


 
									 
									 
									 
									 
									 
									