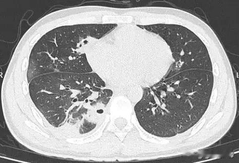
20岁男生挤痘险丧命!面部“危险三角区”为何如此危险? 近日,一则医疗案例引发广泛关注:一名20岁的大学生因随手挤掉脸上的一颗痘痘,竟引发严重感染,导致双肺出现十几个空洞,部分肺组织坏死。这听起来像是影视剧中的情节,却在现实中真实上演。 事件回顾:从一颗痘到肺部空洞 该学生在备考期间经常熬夜,某天发现面部冒出一颗红肿的痘痘。随手挤压后,痘痘不仅没有消退,几天后还出现持续高烧、剧烈咳嗽、呼吸急促等症状。就医后,CT检查结果令人震惊——他的肺部布满多个空洞,确诊为“血源性肺脓肿”。医生紧急使用强效抗生素治疗,最终将他从危险中抢救回来。 “危险三角区”的致命风险 医生指出,问题出在面部的 “危险三角区” ——即以鼻根为起点、嘴角连线为底形成的三角区域。这一区域血管丰富,且有一个致命的解剖特点:缺乏静脉瓣。 静脉瓣就像是血管中的“单向阀门”,能防止血液逆流。而危险三角区的静脉直通颅内的重要血管,且没有这层保护。挤压痘痘时,外力会将细菌(如金黄色葡萄球菌等)推入血管,细菌随血液“逆流而上”,进入颅内或肺部,引发: · 颅内感染:可能导致脑膜炎、脑脓肿 · 肺部脓肿:细菌通过血液播散至肺部,形成空洞 · 败血症:全身感染,危及生命 年轻人成高危群体,这些习惯要警惕 类似案例近年来并不少见,尤其在年轻人中高发,常与以下因素有关: · 熬夜、压力大导致免疫力下降 · 用手或不洁工具挤痘 · 忽略面部清洁与伤口护理 安全祛痘指南 医生建议,面对痘痘务必牢记: 1. 管住手:绝不随意挤压,尤其是“危险三角区” 2. 温和清洁:使用适合的洁面产品,保持面部清洁 3. 局部用药:可选用含维A酸、水杨酸或抗菌成分的外用药膏 4. 及时就医:若痘痘反复发作、红肿疼痛,应寻求皮肤科医生帮助 5. 调整生活习惯:避免熬夜、高糖饮食,保持健康作息 专家提醒 皮肤科专家强调,面部痘痘是常见的毛囊皮脂腺炎症,正确处理通常并无大碍,但错误的挤压行为可能“小题大做”,让小小痘痘酿成全身危机。若挤痘后出现发热、头痛、咳嗽等异常症状,必须立即就医。

