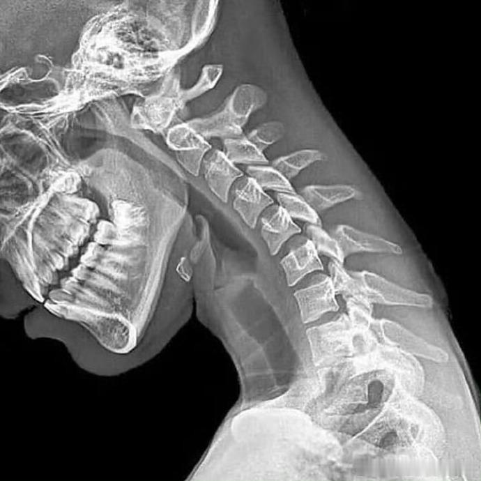
颈椎病 为啥不要总低头?来看对比你就知道了👇🏻👇🏻我们的颈椎,本来正常的生理曲度,应该呈现出轻微的前凸,是图1的样子。但当你低头的时候,颈椎不得不向后弯曲,时间一长,颈椎压力过大、肩颈不适,很多人的颈椎曲度变直/反弓,也是这么来的健闻登顶计划运动康复


颈椎病 为啥不要总低头?来看对比你就知道了👇🏻👇🏻我们的颈椎,本来正常的生理曲度,应该呈现出轻微的前凸,是图1的样子。但当你低头的时候,颈椎不得不向后弯曲,时间一长,颈椎压力过大、肩颈不适,很多人的颈椎曲度变直/反弓,也是这么来的健闻登顶计划运动康复


作者最新文章
热门分类