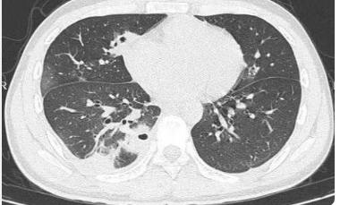
刷到20岁男生肺被查出10多个空洞的新闻,我直接惊掉下巴!本该是跑跳都带风的年纪,肺部却藏着这么多隐患,这事儿真的给所有年轻人敲了记响钟! 说实话,现在好多人都有个误区:觉得年轻就是免病金牌,熬夜打游戏、抽烟解压、感冒咳嗽硬扛,怎么造都行。但我身边就有例子,朋友仗着20出头,天天凌晨两三点睡,还爱抽电子烟,前段时间体检查出肺结节,吓得立马戒了所有坏习惯。 这事儿真不是危言耸听!肺部其实特别娇弱,长期熬夜会让免疫力下降,烟草(包括二手烟、三手烟)更是直接伤肺,就连密闭空间不通风、长期待在空调房,都在悄悄损伤肺功能。很多人觉得咳嗽、胸闷是小毛病,殊不知这些可能就是身体的求救信号,拖来拖去只会让小问题变大事。 其实守护肺部健康真没那么复杂:别仗着年轻瞎造,尽量11点前睡,戒烟并远离吸烟环境;每天抽20分钟做个慢跑、跳绳,让肺动起来;每年体检别偷懒,胸部CT真的能早发现问题;要是咳嗽超过两周、痰里带血,别硬扛,赶紧去医院! 年轻是资本,但不是挥霍健康的理由。我们追求的是长久的快乐,而不是一时放纵后的后悔。好好爱护自己的肺,才能一直畅快呼吸、奔赴热爱呀!
